Giải pháp điều trị tủy và bọc sứ giúp phục hồi răng chắc khỏe tại Nha khoa Việt Mỹ

Tình trạng viêm tủy hoặc răng hư tổn nếu không điều trị kịp thời có thể dẫn đến mất răng và ảnh hưởng đến sức khỏe toàn hàm. Tại Nha khoa Việt Mỹ, giải pháp điều trị tủy kết hợp bọc răng sứ được ứng dụng theo quy trình chuẩn quốc tế, giúp bảo tồn răng thật, phục hồi chức năng ăn nhai và đảm bảo thẩm mỹ lâu dài.

Những lý do Nha khoa Việt Mỹ được nhiều khách hàng tin chọn

1. Thương hiệu lâu năm và đội ngũ bác sĩ có kinh nghiệm

Nha khoa Việt Mỹ hoạt động hơn 18 năm với hệ thống phòng khám trải đều khắp Việt Nam. Đội ngũ bác sĩ giàu kinh nghiệm trong điều trị tủy và phục hình sứ, từng xử lý nhiều ca phức tạp.

2. Minh bạch trong tư vấn và chi phí

Bảng giá được niêm yết công khai, rõ ràng theo từng dịch vụ. Bệnh nhân được xem phim X-quang trực tiếp tại phòng khám, từ đó hiểu rõ tình trạng răng và lý do cần điều trị. Việc công khai này giúp nhiều người cảm thấy an tâm hơn, đặc biệt khi lo ngại bị “vẽ bệnh”.

3. Cơ sở vật chất hiện đại, quy trình vô trùng chuẩn

Các phòng khám thuộc hệ thống Nha khoa Việt Mỹ được trang bị máy nội nha xoay, máy chụp X-quang kỹ thuật số và labo sứ tiêu chuẩn cao. Quy trình vô trùng tuân theo hướng dẫn Bộ Y tế, đảm bảo an toàn trong từng thao tác điều trị.

nha-khoa-1.jpg
Hệ thống vô trùng hiện đại tại Nha khoa Việt Mỹ

4. Phản hồi tích cực từ khách hàng

Ghi nhận từ nhiều khách hàng sau điều trị tại Việt Mỹ cho thấy mức độ hài lòng cao về sự giải thích tỉ mỉ, chi phí rõ ràng và độ tự nhiên của răng sứ. Người bệnh cũng đánh giá cao thái độ hỗ trợ và sự nhiệt tình của đội ngũ bác sĩ, tạo cảm giác an tâm xuyên suốt quá trình điều trị.

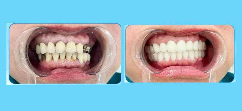
nha-khoa-2.jpg
Hình ảnh trước và sau của khách hàng sau khi bọc răng sứ tại Nha khoa Việt Mỹ

Vì sao phải lấy tủy trước khi bọc răng sứ?

Theo chia sẻ từ các bác sĩ, không phải trường hợp bọc răng sứ nào cũng cần phải điều trị tủy. Việc lấy tủy chỉ được thực hiện khi răng đã bị viêm, nhiễm trùng hoặc tổn thương sâu đến buồng tủy. Đây là tình trạng khá phổ biến ở người trưởng thành, thường xuất phát từ thói quen ăn nhiều đường, vệ sinh răng miệng chưa đúng cách hoặc từng gặp chấn thương vào răng.

Tuy nhiên, bác sĩ không khuyến khích lạm dụng lấy tủy. Nếu tủy răng vẫn còn khỏe, việc bảo tồn sẽ giúp răng bọc sứ chắc hơn và có tuổi thọ cao hơn. Chỉ khi phim X-quang cho thấy răng viêm nặng, đau kéo dài hoặc tủy đã bị tổn thương không thể hồi phục thì mới cần can thiệp điều trị tủy.

Bảng giá điều trị tủy tại Nha khoa Việt Mỹ

Thực tế thị trường cho thấy chi phí lấy tủy dao động khá rộng, tùy thuộc vị trí răng và kỹ thuật điều trị. Từ các khảo sát hiện nay, giá điều trị tủy tại nhiều phòng khám có thể chênh lệch từ vài trăm nghìn đến vài triệu đồng mỗi răng. Đây cũng là lý do nhiều người đặt câu hỏi “lấy tủy bọc răng sứ giá bao nhiêu?” khi muốn vừa điều trị triệt để, vừa phục hồi thẩm mỹ lâu dài.

Dưới đây là bảng giá tham khảo của điều trị tủy tại Nha khoa Việt Mỹ:

nha-khoa-3.jpg

Phòng khám cho biết toàn bộ mức giá trên đã bao gồm: chụp phim X-quang, thuốc, vệ sinh vùng điều trị và các buổi tái khám. Điều này giúp bệnh nhân tránh được tình trạng “báo giá thấp nhưng phát sinh cao” - một vấn đề nhiều người từng gặp phải.

Bảng giá bọc răng sứ tại Nha khoa Việt Mỹ

Bọc răng sứ là giải pháp phục hình giúp cải thiện thẩm mỹ và chức năng ăn nhai. Tùy theo chất liệu, giá mão sứ có sự khác biệt rõ rệt. Nha khoa Việt Mỹ hiện cung cấp đầy đủ các dòng sứ phổ biến, với mức giá minh bạch:

nha-khoa-4.jpg

Điểm nổi bật tại Việt Mỹ là tất cả loại sứ đều có thẻ bảo hành chính hãng, thể hiện rõ thời gian và phạm vi bảo hành. Ngoài ra, mỗi bệnh nhân đều được tư vấn lựa chọn loại sứ phù hợp với tình trạng răng, nhu cầu thẩm mỹ và ngân sách, thay vì bị ép buộc chọn dòng sứ cao cấp.

Cam kết dành cho bệnh nhân tại Nha khoa Việt Mỹ

Tại Nha khoa Việt Mỹ, mỗi ca điều trị không chỉ hướng đến việc xử lý bệnh lý mà còn đảm bảo kết quả duy trì ổn định lâu dài. Sau khi điều trị tủy và bọc răng sứ, bệnh nhân được kiểm tra khớp cắn để đảm bảo ăn nhai thoải mái, đồng thời răng sứ được thiết kế theo tỉ lệ phù hợp với khuôn mặt giúp đạt độ thẩm mỹ cao.

Mỗi mão sứ đều đi kèm phiếu bảo hành chính hãng, cùng với hướng dẫn chăm sóc cá nhân hóa để tăng tuổi thọ răng. Phòng khám cũng duy trì chính sách nhắc lịch tái khám định kỳ, giúp kiểm soát tình trạng răng và phát hiện sớm các vấn đề tái phát nếu có.

Sự tận tâm trong theo dõi hậu điều trị chính là yếu tố giúp Việt Mỹ được nhiều bệnh nhân lựa chọn thay vì chỉ đơn thuần “điều trị xong là kết thúc”.

Thông tin liên hệ:

- Website: https://nhakhoavietmy.com.vn/

- Fanpage: https://www.facebook.com/NhaKhoaVietMy.TruSoChinh

- Địa chỉ trụ sở chính: 1298 Huỳnh Tấn Phát, P. Tân Mỹ, TP. HCM

- Số điện thoại: 1900 636 734

- Email: cskh@nhakhoavietmy.com.vn

Đọc thêm

MB ký kết thành công hợp đồng khoản vay hợp vốn xanh trên thị trường quốc tế trị giá 500 triệu USD

MB ký kết thành công hợp đồng khoản vay hợp vốn xanh trên thị trường quốc tế trị giá 500 triệu USD

Ngày 24/11/2025, Ngân hàng TMCP Quân đội (MB) vừa hoàn thành ký kết hợp đồng khoản vay Hợp Vốn Xanh trung hạn trên thị trường quốc tế trị giá 500 triệu USD đánh dấu thêm một cột mốc quan trọng trong hành trình mở rộng việc hỗ trợ tài chính cho các dự án phát triển bền vững của MB.
Bankervn và sứ mệnh giúp người Việt tiếp cận thế giới dễ dàng hơn

Bankervn và sứ mệnh giúp người Việt tiếp cận thế giới dễ dàng hơn

Trong thời kỳ hội nhập, việc học tập, làm việc hay định cư ở các nước trên thế giới đã trở thành nhu cầu thiết yếu của rất nhiều người Việt. Đáp ứng xu hướng này, Bankervn ra đời giúp người Việt tiếp cận thế giới dễ dàng hơn thông qua những giải pháp về thủ tục pháp lý, quy trình xin visa,... Với nhiều năm kinh nghiệm, Bankervn đã kết nối thành công cho hàng nghìn người Việt chinh phục giấc mơ toàn cầu.
So sánh MacBook Pro M2 và MacBook Pro M1: Có đáng để nâng cấp?

So sánh MacBook Pro M2 và MacBook Pro M1: Có đáng để nâng cấp?

MacBook Pro 13 inch luôn là dòng máy mang tính biểu tượng của Apple: nhỏ gọn, mạnh mẽ và bền bỉ. Sự xuất hiện của chip Apple Silicon đã đưa hiệu năng của MacBook lên một tầm mới, và hai thế hệ M1 - M2 chính là minh chứng rõ ràng nhất. Vậy giữa MacBook Pro M1 và MacBook Pro M2, đâu là phiên bản phù hợp hơn với nhu cầu thực tế? Qua bài viết dưới đây, QMac Store - cửa hàng MacBook uy tín (399/36 Nguyễn Đình Chiểu, P. Bàn Cờ, TPHCM) sẽ giúp bạn nhìn rõ sự khác biệt để đưa ra lựa chọn đúng đắn.
iPhone 17 và iPhone 16 – so sánh chi tiết thông số

iPhone 17 và iPhone 16 – so sánh chi tiết thông số

iPhone 17 và iPhone 16 cho thấy sự khác biệt rõ rệt về hiệu năng với chip A19 và A18, cùng với đó là những nâng cấp đáng kể về công nghệ màn hình hiển thị. Hệ thống camera iPhone 17 có sự thay đổi lớn với cảm biến 48MP Dual Fusion. Thời lượng pin và công nghệ sạc trên iPhone 17 cũng được cải tiến so với iPhone 16.
iPhone 17 thường và iPhone 16 – so sánh chi tiết trước khi mua

iPhone 17 thường và iPhone 16 – so sánh chi tiết trước khi mua

iPhone 17 thường và iPhone 16 có những điểm khác biệt gì trong thiết kế và hiệu năng? Đâu là phiên bản sẽ phù hợp, nên lựa chọn ở thời điểm hiện tại? Cùng đón đọc bài viết so sánh dưới đây để tìm được phiên bản iPhone phù hợp với nhu cầu nhé!
Thủ tục đơn giản – Tỷ lệ đậu cao: Giải pháp visa toàn diện từ May Travel

Thủ tục đơn giản – Tỷ lệ đậu cao: Giải pháp visa toàn diện từ May Travel

Trong bối cảnh thủ tục visa liên tục thay đổi và yêu cầu xét duyệt ngày càng khắt khe, nhiều khách hàng có xu hướng tìm đến các đơn vị chuyên nghiệp để đảm bảo hồ sơ được chuẩn bị chính xác ngay từ đầu. Với hơn 15 năm kinh nghiệm thực tế và năng lực xử lý hồ sơ đa dạng, May Travel mang đến giải pháp visa toàn diện với tốc độ xử lý nhanh chóng, quy trình minh bạch và khả năng hỗ trợ trọn gói.
Thủ tục đơn giản – Tỷ lệ đậu cao: Giải pháp visa toàn diện từ May Travel

Minh Tùng Composite tiên phong công nghệ bồn công nghiệp FRP “Bền – Linh hoạt – Tiết kiệm”

Trong bối cảnh ngành công nghiệp Việt Nam đang hướng tới các tiêu chuẩn xanh và bền vững, việc thay thế vật liệu truyền thống bằng vật liệu mới đang trở thành xu hướng tất yếu. Nổi bật trong "làn sóng" chuyển dịch này là thương hiệu Minh Tùng Composite – đơn vị đang định hình lại chuẩn mực lưu trữ và xử lý chất thải bằng công nghệ Composite FRP tiên tiến.
iPhone 17 Pro Max và iPhone 16 Pro Max – hai "chiến thần" nên mua năm nay

iPhone 17 Pro Max và iPhone 16 Pro Max – hai "chiến thần" nên mua năm nay

iPhone 17 Pro Max và iPhone 16 Pro Max là hai mẫu smartphone flagship nổi bật của Apple, mang đến nhiều tính năng nổi bật. Phiên bản mới mạnh mẽ, cải tiến hơn và phiên bản tiền nhiệm với mức giá rẻ và hiệu năng ấn tượng. Bài viết sẽ đánh giá hai thiết bị để người dùng dễ dàng lựa chọn máy phù hợp với nhu cầu của bản thân.
Cửa hàng nước hoa The Perfumes – địa chỉ phân phối nước hoa Replica Maison Martin Margiela

Cửa hàng nước hoa The Perfumes – địa chỉ phân phối nước hoa Replica Maison Martin Margiela

Có những mùi hương khiến ta chú ý ngay từ giây đầu tiên vì sự mạnh mẽ, có những mùi khiến ta say mê bởi sự sang trọng, nhưng cũng có những mùi hương khiến ta dừng lại, vì chúng gợi lên một ký ức, một khoảnh khắc từng rất thân thuộc. Và đó chính là linh hồn của Maison Martin Margiela cùng bộ sưu tập nước hoa Replica – nơi những điều nhỏ bé của cuộc sống được tái hiện bằng hương thơm một cách đầy tinh tế.
Quà Tết Nuts - giải pháp quà tặng ý nghĩa cho Tết đoàn viên 2026

Quà Tết Nuts - giải pháp quà tặng ý nghĩa cho Tết đoàn viên 2026

Dịp Tết luôn là khoảng thời gian đặc biệt để sum vầy và trao gửi yêu thương. Mỗi món quà Tết không chỉ là vật phẩm, mà còn là tấm lòng, lời chúc an khang, thịnh vượng gửi đến người thân, bạn bè hay đối tác. Giữa muôn vàn lựa chọn, Quà Tết Nuts nổi bật với giải pháp quà tặng sang trọng, tinh tế và ý nghĩa, hứa hẹn là lựa chọn hoàn hảo cho mùa Tết đoàn viên 2026.
Ống inox công nghiệp Inox TK - lựa chọn chiến lược cho nhà máy miền Trung giai đoạn 2025-2026

Ống inox công nghiệp Inox TK - lựa chọn chiến lược cho nhà máy miền Trung giai đoạn 2025-2026

Các khu công nghiệp tại miền Trung đang mở rộng mạnh mẽ, nhu cầu về vật tư đường ống chất lượng cao, ổn định và có khả năng vận hành lâu dài trở nên cấp thiết hơn bao giờ hết. Ống inox công nghiệp từ Inox TK nổi lên như một lựa chọn chiến lược cho giai đoạn 2025-2026, đáp ứng các tiêu chuẩn kỹ thuật khắt khe của ngành công nghiệp hiện đại.
iPhone dùng sạc lightning liệu còn đáng mua 2025?

iPhone dùng sạc lightning liệu còn đáng mua 2025?

Dây sạc lightning (hay còn gọi là dây sạc iPhone) là phụ kiện nhỏ gọn, tiện lợi và quen thuộc với người sử dụng các thiết bị điện từ do Apple sản xuất. Dây lightning đảm nhận hai chức năng sạc năng lượng và truyền dữ liệu. Bài viết dưới đây sẽ đánh giá liệu các dòng iPhone dùng chuẩn này có còn đáng mua trong năm 2025.
Cửa lùa nhà vệ sinh Heckler Slim - giải pháp cho không gian hiện đại

Cửa lùa nhà vệ sinh Heckler Slim - giải pháp cho không gian hiện đại

Trong thiết kế nội thất hiện đại, cửa lùa nhà vệ sinh đang trở thành lựa chọn ưu tiên của nhiều gia đình Việt Nam. Với không gian sống ngày càng hạn chế, đặc biệt tại các căn hộ chung cư, việc tối ưu hóa từng centimet vuông trở nên vô cùng quan trọng.
Chụp ảnh cưới đẹp rẻ Hà Nội: Lựa chọn nào đáng tiền nhất?

Chụp ảnh cưới đẹp rẻ Hà Nội: Lựa chọn nào đáng tiền nhất?

Chụp ảnh cưới đẹp rẻ ở Hà Nội là mong muốn của hầu hết các cặp đôi. Giữa vô vàn lựa chọn, làm sao để tìm được một studio chụp ảnh cưới giá rẻ mà chất lượng vẫn đảm bảo? Palatino Studio sẽ bật mí những kinh nghiệm và gói chụp tối ưu nhất dành cho bạn!
Đơn vị điêu khắc đá Tiệm Phạm uy tín, giao hàng trên toàn quốc

Đơn vị điêu khắc đá Tiệm Phạm uy tín, giao hàng trên toàn quốc

Nếu bạn đang tìm một đơn vị điêu khắc đá uy tín, chất lượng và đáng tin cậy, Tiệm Phạm chắc chắn là lựa chọn hàng đầu. Với nhiều năm kinh nghiệm Tiệm Phạm không chỉ mang đến những tác phẩm tinh xảo mà còn mang đến trải nghiệm mua sắm tiện lợi và an tâm tuyệt đối.
Công ty sản xuất thạch dừa GC Food với chất lượng chuẩn quốc tế

Công ty sản xuất thạch dừa GC Food với chất lượng chuẩn quốc tế

Công ty sản xuất thạch dừa GC Food tự hào là đơn vị dẫn đầu trong việc cung cấp thạch dừa chất lượng, đảm bảo an toàn, hương vị thơm ngon và giá trị dinh dưỡng cao. Sản phẩm thạch dừa của GC Food không chỉ đạt các tiêu chuẩn chất lượng quốc tế mà còn đáp ứng tốt yêu cầu của ngành F&B cũng như nhu cầu xuất khẩu. Cùng khám phá thêm về GC Food trong bài viết dưới đây.
5 điều lưu ý khi lắp đặt camera để thông tin không bị rò rỉ

5 điều lưu ý khi lắp đặt camera để thông tin không bị rò rỉ

Lắp đặt camera sai cách rất dễ dẫn đến tình trạng bị rò rỉ thông tin cá nhân như video nhạy cảm bị phát tán trên mạng hay người lạ tự ý xem camera. Bài viết này sẽ gửi tới người dùng nguyên nhân vì sao lắp camera dễ bị lộ dữ liệu. Ngoài ra, bài viết cung cấp thông tin về 5 điều lưu ý khi lắp đặt và sử dụng camera tại nhà.
Đồng hồ Xiaomi – lựa chọn hoàn hảo trong tầm giá dưới 3 triệu

Đồng hồ Xiaomi – lựa chọn hoàn hảo trong tầm giá dưới 3 triệu

Đồng hồ Xiaomi mang đến sự kết hợp tinh tế giữa thiết kế trẻ trung và các tính năng thông minh, giúp theo dõi sức khỏe và vận động hàng ngày hiệu quả. Sản phẩm gây ấn tượng với màn hình sắc nét, pin bền lâu cùng nhiều chế độ luyện tập đa dạng. Với mức giá dưới 3 triệu, đây là lựa chọn đáng giá, phù hợp với nhiều đối tượng.
Kaspersky Standard: Giải pháp diệt virus mạnh mẽ cho máy tính & điện thoại

Kaspersky Standard: Giải pháp diệt virus mạnh mẽ cho máy tính & điện thoại

Trong thời đại công nghệ phát triển nhanh, dữ liệu cá nhân và thiết bị thông minh luôn đứng trước nguy cơ bị tấn công mạng. Việc chọn một phần mềm bảo mật uy tín trở nên quan trọng hơn bao giờ hết. Kaspersky Standard được xem như giải pháp an ninh toàn diện, mang đến khả năng bảo vệ mạnh mẽ cho cả máy tính và điện thoại.
Top 6 đai lưng hỗ trợ cột sống Haruco đáng đầu tư

Top 6 đai lưng hỗ trợ cột sống Haruco đáng đầu tư

Ngày càng nhiều người gặp vấn đề về cột sống do công việc ít vận động, thói quen ngồi sai tư thế hay tuổi tác. Lựa chọn một đai lưng hỗ trợ cột sống phù hợp có thể mang lại hiệu quả rõ rệt trong việc giảm đau và duy trì dáng người thẳng.
Khoáng nóng Thanh Thủy – điểm đến nghỉ dưỡng phục hồi sức khỏe nổi bật của miền Bắc

Khoáng nóng Thanh Thủy – điểm đến nghỉ dưỡng phục hồi sức khỏe nổi bật của miền Bắc

Trong vài năm trở lại đây, Khoáng nóng Thanh Thủy (Phú Thọ) liên tục nằm trong nhóm điểm đến được du khách miền Bắc tìm kiếm nhiều nhất, đặc biệt sau đại dịch khi nhu cầu nghỉ dưỡng gắn với chăm sóc sức khỏe (wellness tourism) tăng mạnh. Với nguồn khoáng tự nhiên quý hiếm, cảnh quan hữu tình cùng sự xuất hiện của nhiều tổ hợp giải trí – nghỉ dưỡng quy mô lớn, Thanh Thủy đang nhanh chóng trở thành trung tâm du lịch mới của vùng trung du phía Bắc.