Mắc COVID-19, khó thở chính là một trong những dấu hiệu đáng quan ngại nhất ảnh hưởng đến mọi hoạt động hàng ngày, kể cả lúc nghỉ ngơi. Đây cũng là dấu hiệu phổ biến cùng với các triệu chứng như ho và sốt. Dấu hiệu này cho thấy cơ thể không nhận đủ oxy.
Lượng oxy thấp sẽ ảnh hưởng đến não, tim và các cơ quan quan trọng khác trong cơ thể. Khi xâm nhập cơ thể, virus SARS-CoV-2 đã làm giảm lượng oxy bão hòa trong cơ thể bệnh nhân và sau một thời gian tổn thương, người bệnh sẽ rất khó có thể phục hồi hoàn toàn.
1. Khó thở là bệnh gì?
Khó thở (hay còn gọi là bệnh đói không khí hoặc hụt hơi) là một vấn đề về hô hấp khá phổ biến. Khó thở khiến người bệnh luôn trong tình trạng thiếu oxy, mệt mỏi, tức ngực, hô hấp khó khăn, hơi thở đứt quãng.
F0 mắc COVID-19, triệu chứng khó thở có thể xảy ra từ nhẹ đến nặng với biểu hiện lâm sàng đa dạng. Tất cả các F0 cần được theo dõi, tầm soát các rối loạn từ đó lên kế hoạch điều trị tích cực, lâu dài.

Mắc COVID-19, khó thở chính là một trong những dấu hiệu đáng quan ngại nhất ảnh hưởng đến mọi hoạt động.
2. Triệu chứng khó thở
Cảm thấy ngột ngạt hoặc ngạt thở.Thở gấp.Tức ngực.Thở nhanh, nông.Tim đập nhanh.Thở khò khè.Ho.
3. Khó thở có thể gây biến chứng gì?
Khó thở là kết quả của tình trạng thiếu oxy hoặc giảm oxy trong máu, tức là mức oxy trong máu thấp.
Vì thế, nếu chủ quan với tình trạng này mà không có biện pháp xử lý kịp thời, não sẽ không được cung cấp đủ oxy để hoạt động trong thời gian dài, dẫn đến hiện tượng suy giảm nhận thức tạm thời hoặc vĩnh viễn.
Cùng với đó là một loạt biến chứng nguy hiểm khác như tổn thương não, hoại tử não, đột quỵ…
4. Khó thở nên làm gì?
Ở tất cả các F0, hiện tượng khó thở không giống nhau về mức độ và căn nguyên. Nếu chỉ bị khó thở trong thời gian ngắn với mức độ không nghiêm trọng thì có thể áp dụng một số biện pháp hỗ trợ tại nhà. Trường hợp nặng cần báo ngay với cơ sở y tế để được điều trị kịp thời.
5. Khó thở dai dẳng có thể là dấu hiệu tổn thương phổi?
Phổi là cơ quan bị ảnh hưởng nặng nhất bởi COVID-19 với những biến chứng như viêm phổi, hội chứng suy hô hấp cấp tiến triển và nhiễm khuẩn. COVID-19 có thể gây tổn thương lâu dài cho phổi, biểu hiện qua triệu chứng khó thở. Các biến thể mới của virus SARS-CoV-2 cũng ảnh hưởng nghiêm trọng đến hệ hô hấp, có thể gây viêm phế quản.
Mức độ nghiêm trọng của tổn thương phổi do COVID-19 phụ thuộc vào mức độ lây nhiễm và những nhân tố khác như bệnh nền.
Một phát hiện mới được công bố trên tạp chí y khoa Immunity được Zing trích dẫn cho hay, khó thở dai dẳng có thể là dấu hiệu của tổn thương phổi. Kết quả của nghiên cứu phát hiện đây là dấu hiệu cho thấy phổi của người bệnh vẫn chưa được chữa lành hoàn toàn khỏi những tổn thương do virus SARS-CoV-2 gây ra.
Tiến sĩ James Harker (Viện Tim và Phổi Quốc gia của Đại học Hoàng gia London -Anh, một trong những tác giả của nghiên cứu) giải thích, tình trạng khó thở kéo dài cho thấy sự hiện diện của các tế bào miễn dịch bất thường, được tạo ra do COVID-19.
Các nhà nghiên cứu đã theo dõi những trường hợp khó thở liên tục bằng cách kiểm tra mẫu chất lỏng chiết xuất từ phổi. Mục tiêu chính của nghiên cứu là tìm hiểu những tế bào miễn dịch nào đang hoạt động bên trong phổi dẫn đến vấn đề khó thở hậu COVID-19. Giới nghiên cứu phát hiện sự hiện diện của tế bào miễn dịch bị thay đổi trong đường thở của những người tham gia nghiên cứu.
Kết quả nghiên cứu chỉ rõ, tình trạng khó thở dai dẳng ở bệnh nhân COVID-19 có thể là phản ứng miễn dịch sau thời gian dài bị nhiễm virus, dẫn đến viêm và tổn thương đường thở. Tuy nhiên, điều này không có nghĩa là tình trạng bệnh có thể trở nên tồi tệ hơn. Các nhà nghiên cứu nhận định, khó thở dai dẳng nếu được điều trị kịp thời có thể cải thiện tình trạng phổi và ngăn ngừa các biến chứng khác có thể xảy ra.
6. Đặc điểm tổn thương phổi do COVID-19

Phổi là cơ quan bị ảnh hưởng nặng nhất bởi COVID-19.
6.1. Trên hình ảnh X-quang
Các dấu hiệu điển hình:
-Nốt mờ, đám mờ, kính mờ hình tròn đa ổ.
-Đông đặc nhu mô phổi vùng ngoại vi đa ổ (nếu không phân bố ở ngoại vi thì coi là chưa xác định được).
Các dấu hiệu không điển hình, có thể do COVID-19 hoặc các nguyên nhân khác:
-Đông đặc khu trú thùy phổi.
-Tràn dịch màng phổi.
-Mờ tổ chức kẽ quanh rốn phổi.
-Dày thành phế quản, dày vách liên tiểu thùy.
-Xẹp phổi.
-Bệnh lý hạch lympho.
Vào giai đoạn sớm, hình ảnh X-quang có thể bình thường. Tổn thương thường cả ở nhu mô phổi và tổ chức kẽ. Tổn thương thường lan tỏa, thùy dưới hai bên, ở vùng ngoại vi, ít có phá hủy. Khi khỏi có thể để lại xơ phổi.
Hình ảnh kính mờ (ground glass opacity - GGO): Là tổn thương đông đặc không hoàn toàn, có tỷ trọng cao hơn nhu mô phổi xung quanh vẫn có thể thấy đường bờ các mạch máu hoặc phế quản bên trong tổn thương đó.
Hình ảnh nốt mờ: Là những hình mờ có đường kính dưới 3cm, dạng hình tròn, có thể đơn độc, có thể rải rác trong nhu mô phổi. Các nốt phổi thường có ranh giới rõ, được bao quanh bởi nhu mô phổi và không liên tục với rốn phổi hay trung thất.
Hình ảnh dày thành phế quản: Là những tổn thương thể hiện thành của phế quản dày lên, do có sự tích tụ dịch hay chất nhày xung quanh thành phế quản, trong mô kẽ.
Hình ảnh dày vách liên thùy: Liên quan đến dịch rãnh liên thùy, thâm nhiễm tế bào hoặc xơ hóa. Trong viêm phổi do virus, dày các vách liên thùy gặp trong tổn thương lan tỏa trong ARDS.

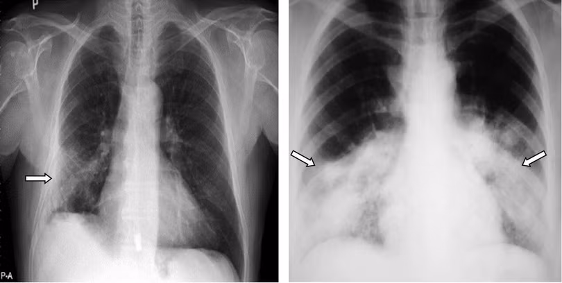
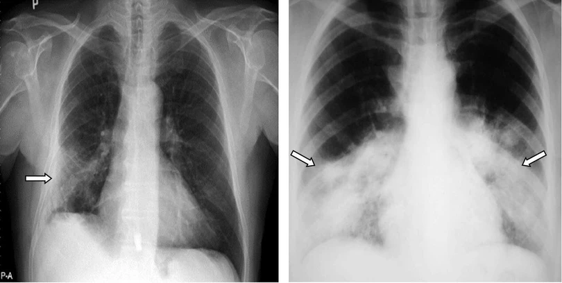
Hình ảnh phổi bị tổn thương do COVID-19 trên hình ảnh X-quang. Ảnh: BVTWQĐ 108
6.2. Trên hình ảnh cắt lớp vi tính
- Tổn thương thường gặp cả hai phổi, có nhiều ổ, phân bố thường ở ngoại vi, dưới màng phổi và đáy phổi.
Các loại tổn thương phổi do COVID-19 có thể thấy trên hình ảnh cắt lớp vi tính là:
-Hình ảnh kính mờ (ground glass opacity - GGO): Là dấu hiệu hay gặp nhất, thường nhiều ổ, hai bên và ở ngoại vi, tuy nhiên trong giai đoạn sớm có thế gặp một ổ tổn thương khu trú và chủ yếu ở thùy dưới phổi phải.
-Hình ảnh lát đá (crazy paving): Tổn thương kính mờ kết hợp với dày vách liên tiểu thùy, vách trong tiểu thùy.
-Hình ảnh kính mờ kèm đông đặc phổi từng phần.
-Hình ảnh đám mờ dạng đông đặc phổi đơn thuần.
-Hình ảnh kính mờ hoặc đông đặc phổi có biểu hiện dấu halo đảo ngược (gồm viền đặc phổi dày tối thiểu 2 mm bao quanh vùng kính mờ ở trung tâm).
-Hình ảnh giãn mạch máu bên trong đám mờ tổn thương.
-Hình ảnh giãn phế quản co kéo.Hình ảnh dải mờ dưới màng phổi gây biến dạng cấu trúc.
Lưu ý: Tràn dịch màng phổi, thương tổn phổi dạng nốt, hạch trung thất hay hạch rốn phổi thì không đặc thù cho COVID-19, rất ít ca có các dấu hiệu này. Các thương tổn này nếu xuất hiện nhiều thì ưu tiên nghĩ đến viêm phổi do nguyên nhân khác.
7. Biện pháp khắc phục khi bị khó thở
Ưỡn ngực về trước
Ngồi trong tư thế ngực ưỡn về phía trước có thể giúp cải thiện cảm giác khó thở. Hãy ngồi thẳng lưng, ưỡn ngực về phía trước rồi đặt tay lên đùi, vai thả lỏng. Đây là động tác giúp cho ngực được thả lỏng nên nhờ đó chức năng phổi cũng được cải thiện đáng kể.
Thở sâu
-Thở sâu đường bụng có thể giúp kiểm soát tình trạng khó thở. Thực hiện bằng cách:
-Nằm xuống, đặt hai tay lên bụng;
-Hít sâu qua mũi, phình bụng và để phổi chứa đầy không khí.
-Nín thở sâu trong vài giây.
-Thở chậm qua miệng cho đến khi phổi hết không khí.
-Lặp lại trong khoảng 5 - 10 phút.
-Duy trì đều đặn hàng ngày sẽ giúp kiểm soát chứng khó thở tốt hơn.

Kiểm soát tình trạng khó thở bằng phương pháp thở mím môi. Nguồn: healthline.com
Thở mím môi
Thở mím môi được xem là kỹ thuật đơn giản để kiểm soát tình trạng khó thở, giúp người bệnh nhanh chóng mở rộng đường thở để hít vào, thở ra dễ dàng và sâu hơn. Kỹ thuật này cũng hỗ trợ loại bỏ những tác nhân, hay tình trạng không khí ứ cặn mắc kẹt trong phổi.
Để thực hiện cần làm các bước:
-Thư giãn, thả lỏng cơ vai và cổ.
-Đặt một tay lên thành bụng.
-Hít sâu vào bằng đường mũi 2 nhịp, lúc này miệng vẫn đóng và người bệnh cảm thấy thành bụng hơi căng ra.
-Thở mím môi (chúm môi - tạo ra khoảng cách nhỏ ở giữa 2 môi) lại cho hơi thở từ từ thoát ra kẽ môi, thành bụng xẹp dần xuống. Thực hiện lại động tác này khoảng 10 phút để khắc phục chứng khó thở.
Ngồi thả lỏng và hơi nhô người về phía trước
Thả lỏng cơ thể khi đang ngồi trên ghế giúp thần trí và cả cơ thể được thư giãn, giúp hít thở dễ dàng hơn.
Tư thế này thực hiện như sau:
-Ngồi trên ghế, lòng bàn chân đặt xuống sàn, ngực hơi chếch về phía trước một chút.
-Nhẹ nhàng đặt cùi chỏ lên đầu gối hoặc 2 tay giữ lấy cằm.
-Luôn giữ cho phần vai, cổ thả lỏng.
Dùng cơ hoành để thở
Người bệnh cần ngồi trên ghế, vai và tay thả lỏng, tay đặt lên bụng, môi mím chặt. Sau đó, từ từ dùng mũi để hít vào và thở ra bằng môi, cơ bụng siết chặt lại. Động tác này làm trong khoảng 5 phút có thể giảm và kiểm soát được chứng khó thở.

Bài tập thở cơ hoành. Ảnh: Theo tài liệu Sở Y tế Hà Nội
Đứng thẳng
Tìm một điểm tựa vững chắc để tựa lưng đứng thẳng vào đó có thể tăng cường chức năng đường thở trong phổi và giảm khó thở.
Tư thế này được thực hiện:
-Đứng thẳng lưng dựa vào tường hoặc vách
-Chân dang rộng bằng vai.
-Đặt tay lên đùi rồi ưỡn ngực về trước.
-2 tay đung đưa ra trước.
Chọn các tư thế thoải mái
-Ngồi cúi ra trước trên một chiếc ghế, tốt nhất với đầu tựa lên bàn.
-Dựa vào tường để lưng được chống đỡ.
-Đứng chống hai tay xuống bàn, để bớt trọng lượng lên chân.
-Nằm nghiêng một bên, với một chiếc gối kẹp giữa 2 chân, kê đầu cao lên bằng 1 hoặc nhiều chiếc gối sao cho bạn cảm thấy thoải mái nhất, đồng thời giữ lưng thẳng.
-Nằm ngửa, thẳng lưng, kê cao đầu bằng 1 hoặc 2 chiếc gối (tùy), đồng thời đặt thêm 1 chiếc gối ở dưới 2 đầu gối.
Xông mũi
Hãy lấy một bát nước nóng rồi nhỏ thêm vào đó vài giọt tinh dầu bạc hà hoặc tinh dầu khuynh diệp và cúi mặt xuống bát ở khoảng cách phù hợp đủ để không bị bỏng sau đó hít thật sâu cho hơi nước bốc lên từ bát vào trong mũi và thở ra nhẹ nhàng. Hít hơi nước có thể giúp làm thông mũi, giúp thở dễ dàng hơn. Hơi nóng và độ ẩm từ hơi nước cũng có thể làm tan chất nhầy trong phổi, giúp giảm sự khó thở.
Uống trà gừng
Gọt vỏ và cắt vài lát gừng tươi cho vào cốc nước sôi. Đậy nắp trong 10 phút, cho thêm chanh và mật ong vào và uống, sẽ thấy dễ thở hơn.