Ngày nay, khi đời sống của đa phần người dân đã được cải thiện, các ông bố bà mẹ lại càng có điều kiện để đầu tư cho con một hàm răng trắng đẹp và nụ cười rạng rỡ dù rằng chi phí nắn chỉnh răng là tốn kém và mất rất nhiều thời gian.
Tại sao răng lại bị lệch lạc?
Đầu tiên phải nói tới yếu tố di truyền. Thường thì trong gia đình có cha hay mẹ, cô chú có xương hàm nhỏ, còn răng thì quá to hoặc ngược lại, có sự mất cân xứng về kích thước giữa răng và hàm khiến các răng không thể xếp ngay ngắn trên cung hàm; Do một số thói quen không tốt về răng miệng khi trẻ còn nhỏ như tật mút ngón tay, mút môi và cắn môi, đẩy lưỡi, thói quen thở bằng miệng...; Do bị mất răng sữa sớm, răng vĩnh viễn không có được sự hướng dẫn và có thể đưa đến mọc lệch; Dinh dưỡng kém có thể ảnh hưởng đến sự phát triển của xương hàm; Các chấn thương răng làm vị trí các răng sẽ bị thay đổi dẫn tới xô lệch; Bệnh sâu răng, bệnh nha chu làm mất răng...

Khớp cắn ngược (móm)
Tuổi phù hợp để nắn chỉnh răng
Hiện nay, rất nhiều bố mẹ đưa con em mình đến các khoa răng hàm mặt tại các bệnh viện để khám vì lý do răng trẻ mọc lệch lạc, mọc chen chúc và phân vân lo lắng không biết có nên chỉnh sửa răng cho bé khi bé chưa thay hết răng sữa hay không.
Thời điểm tốt nhất để điều trị chỉnh hình răng hàm mặt là khi các răng vĩnh viễn đã mọc (10-12 tuổi). Ở lứa tuổi này, xương hàm đang phát triển, rất thuận lợi cho việc nới rộng và sắp xếp lại các răng. Nhưng để việc nắn chỉnh răng thực sự có hiệu quả hoàn hảo và không gặp nhiều cản trở về sau thì ngay từ khi bắt đầu thay răng sữa (6-7 tuổi) nên cho trẻ đi kiểm tra răng miệng thường xuyên để có thể thực hiện nắn chỉnh răng phòng ngừa kịp thời.
Nắn chỉnh răng phòng ngừa cần thực hiện rất sớm ngay khi bắt đầu thay răng sữa bằng răng vĩnh viễn (khoảng 6-7 tuổi) để điều chỉnh cho hàm răng vĩnh viễn mọc ngay ngắn và đều hơn, giúp cho việc nắn chỉnh toàn diện ở lứa tuổi đã thay hết răng sữa (khoảng 12 tuổi) trở nên dễ dàng và đạt kết quả tốt.
Điều trị sớm sẽ cho kết quả tối ưu
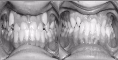
Việc điều trị sớm - điều trị trong giai đoạn các vấn đề về sự phát triển răng mặt ở trẻ được dự báo xảy ra, nhưng chưa gây hậu quả nghiêm trọng, đã được chứng minh có nhiều ưu điểm. Điều trị sớm không những tránh phải nhổ răng lại còn giúp chuẩn bị nền xương hàm, mở đường, định hướng cho các răng vĩnh viễn mọc lên đúng vị trí. Điều trị sớm sẽ giúp đạt được những kết quả tối ưu mà có thể không cần phải nhổ răng.
Nhiều trường hợp bệnh nhân đến yêu cầu chỉnh nha khi việc tăng trưởng đã hoàn tất, bác sĩ bắt buộc phải nhổ răng để có thể chỉnh lại cho răng đều đặn, hoặc làm giảm hô, móm cho bệnh nhân; mang lại cơ hội để chỉnh hình những ca lâm sàng có lệch lạc trầm trọng về xương, nếu để đến thời điểm trẻ đã lớn, không còn tăng trưởng, sẽ không thể điều trị được bằng chỉnh nha đơn thuần, mà phải dùng phẫu thuật phức tạp và tốn kém để có được một kết quả hoàn hảo.
Và quan trọng hơn điều trị sớm sẽ giúp tiết kiệm được kinh phí và giảm thời gian mang mắc cài trên toàn bộ cung răng sau này. Và thêm một điều quan trọng nữa là những vấn đề về răng của trẻ sớm được giải quyết, không tiến triển thành những lệch lạc răng mặt nghiêm trọng sau này.

Khớp cắn hở: Khi cắn 2 hàm răng lại, răng hàm phía sau chạm nhau nhưng răng cửa vẫn hở. Răng trên và các răng dưới không chạm nhau.
Trường hợp nào cần nắn chỉnh răng?
Cần đưa trẻ đến khám bác sĩ chuyên khoa răng hàm mặt khi trẻ có bất thường trong sự phát triển của răng, quá trình mọc răng và thay răng sữa, quá trình phát triển và mọc răng vĩnh viễn. Có thể nêu một số ví dụ như: răng xoay hay các răng mọc chen chúc, răng mọc sai vị trí, răng xô lệch, không ngay ngắn trên cung hàm; thiếu răng bẩm sinh, răng dị dạng và răng dư, răng sữa mất sớm, răng chậm thay, răng di chuyển do chấn thương; trẻ có những thói quen xấu về răng miệng có thể gây sai lệch khớp cắn và những lệch lạc về răng và hàm mặt ví dụ như: mút tay, mút môi, tật đẩy lưỡi, thở miệng; có những biểu hiện sai khớp cắn như cắn chìa, cắn sâu, cắn chéo, cắn hở, hô, móm; có sự phát triển lệch lạc giữa xương hàm trên và hàm dưới như cung răng và xương hàm hẹp; răng nhô ra trước hoặc răng thụt vào trong, xương hàm nhô ra trước hoặc xương hàm lùi ra sau...
Tốt nhất nên đưa trẻ đến bác sĩ chuyên khoa về chỉnh hình răng mặt từ lúc 6,7 tuổi để bác sĩ sẽ kiểm tra và phát hiện các lệch lạc răng hàm hoặc nguy cơ sai hình trong tương lai. Bác sĩ sẽ có những lời khuyên nếu nhận thấy trẻ cần được can thiệp chỉnh hình răng miệng sớm và sẽ quyết định thời điểm điều trị. Một số trường hợp sẽ được giải quyết sớm, không cần phải chờ đến khi rụng hết răng sữa vì lúc đó, sự lệch lạc răng sẽ trầm trọng hơn.