Theo thông tin từ BS. Đỗ Tuấn Anh – Khoa Tiết niệu trên, Bệnh viện Trung ương Quân đội 108 (TWQĐ), gần đây, khoa Tiết niệu trên đã tiếp nhận trường hợp cấp cứu bệnh nhân nữ 79 tuổi, tiền sử không mắc các bệnh lý mạn tính, chưa phát hiện bệnh lý đường tiết niệu, trước đây bị sốc mất máu mức độ nặng do vỡ khối u thận phải.
Khai thác tiền sử, trước khi vào viện khoảng 1 tuần, bệnh nhân xuất hiện các triệu chứng như đau tức vùng thắt lưng và hố chậu bên phải, đau âm ỉ, không lan xuyên, không quặn thành cơn, kèm theo sốt kéo dài, nhiệt độ 37,5 – 38 độ C, sốt kèm gai rét, không rét run, đại tiểu tiện bình thường.
Khi nhập viện, bệnh nhân thấy mệt mỏi nhiều, kèm hoa mắt, chóng mặt. Sau khi thăm khám, bệnh nhân được chẩn đoán sốc mất máu mức độ nặng do vỡ khối u thận phải, sỏi niệu quản phải 1/3 dưới.

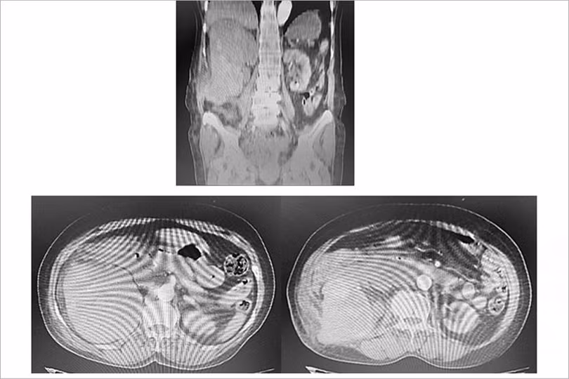
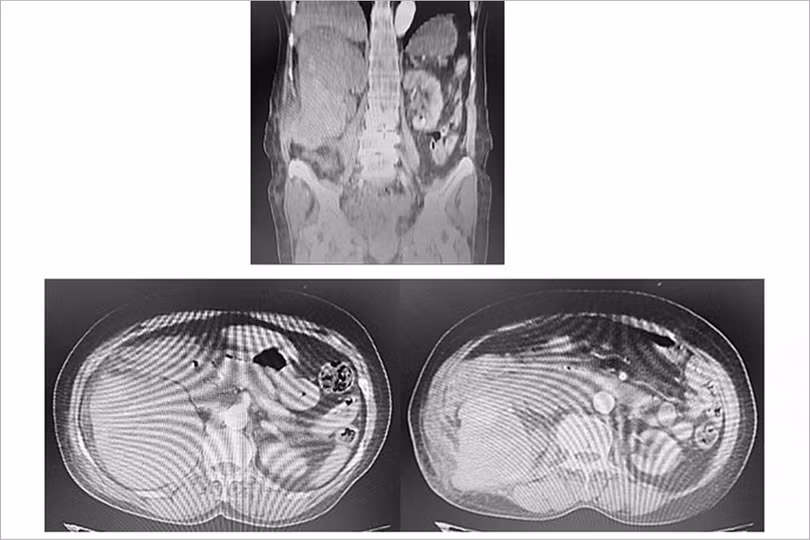
Hình ảnh chụp cắt lớp vi tính ổ bụng cấp cứu của bệnh nhân (ảnh BVCC).
Ngay lập tức, các bác sĩ đã tiến hành hội chẩn phẫu thuật can thiệp mạch, kết hợp truyền máu, bù dịch, nhưng tình trạng cải thiện chậm. Bệnh nhân tiếp tục phải sử dụng thuốc vận mạch, bụng chướng nhiều, tình trạng tiêu hóa kém do ảnh hưởng của khối máu tụ lớn vùng hố thận phải, đồng thời xuất hiện các rối loạn của tim mạch.
Với sự phối hợp của các chuyên ngành trong kíp trực, sau 5 giờ phẫu thuật, bệnh nhân đã được can thiệp thành công nút mạch động mạch thận phải, giải quyết được nguyên nhân gây sốc mất máu. Hiện tại, bệnh nhân tiếp tục được điều trị tích cực tại khoa Tiết niệu trên.

Bác sĩ tiến hành thăm khám cho bệnh nhân (ảnh BVCC).
Theo BS. Kiều Đức Vinh, Khoa Tiết niệu, ca phẫu thuật gặp nhiều khó khăn do bệnh nhân bị khối u thận phải kích thước lớn, ở giai đoạn muộn đã xâm lấn thành lưng phía sau. Đồng thời khi tiếp cận phẫu thuật qua ổ bụng cũng rất nhiều vấn đề phức tạp, toàn bộ các quai ruột chướng hơi lớn do tình trạng liệt ruột cơ năng, tổ chức quanh khối u thận mủn nát, mất nhận dạng giải phẫu vùng rốn thận.
Qua trường hợp này, BS. Vinh khuyến cáo, đối với bệnh nhân ung thư biểu mô đường niệu hay ung thư hệ tiết niệu nên thăm khám sức khỏe định kỳ và chủ động nhất để nâng cao hiệu quả điều trị nếu không may mắc phải các bệnh lý ác tính. Nên chủ động thời gian thăm khám định kỳ là từ 6 – 12 tháng, hoặc khi xuất hiện bất kỳ triệu chứng bất thường nào liên quan đến bệnh lý đường tiết niệu như đau tức vùng mạn sườn thắt lưng, tiểu đỏ hoặc tiểu ra máu, sốt kéo dài không rõ nguyên nhân.