Tuyên bố được bà Rosamund Lewis, Trưởng nhóm kỹ thuật về bệnh đậu mùa khỉ của WHO, đưa ra ngày 30/5. “Hiện tại, chúng tôi không lo ngại về một đại dịch toàn cầu”, bà nói.
Theo các chuyên gia, đậu mùa khỉ có khả năng lây lan ít hơn nhiều so với Covid-19. Đậu mùa khỉ lây truyền khi tiếp xúc rất gần, phần lớn là chạm da hoặc sờ chạm lâu vào quần áo, chăn gối, ga của người bệnh. Trong khi đó, nCoV và các biến chủng rất dễ lây lan, đặc biệt trong phòng kín, qua tiếp xúc, nói chuyện.
Ngoài ra, bệnh này tương tự bệnh đậu mùa, có nghĩa là có thể phòng chống được bằng các biện pháp phòng chống đậu mùa.
Đậu mùa khỉ có hai chủng chính. Chủng Congo biểu hiện nặng, tỷ lệ tử vong là 10%. Chủng Tây Phi ít nghiêm trọng hơn, tỷ lệ tử vong là 1%. Trong đợt bùng hiện nay, virus lưu hành chủ yếu thuộc chủng Tây Phi.
Hiện giới chức các nước chưa ghi nhận ca tử vong nào. Hầu hết ca nhiễm xảy ra ở châu Âu, không phải các nước Trung và Tây Phi - là nơi virus lưu hành thường xuyên.
WHO đang xem xét có nên coi đợt bùng phát là “tình trạng khẩn cấp về sức khỏe cộng đồng tiềm năng, được quốc tế quan tâm” (PHEIC) hay không. Tổ chức đã ghi nhận hơn 300 trường hợp mắc bệnh đậu mùa khỉ trong tháng 5, tại ít nhất 12 nước bao gồm Anh, Mỹ, Bồ Đào Nha, Thụy Điển, Italy,... Bệnh nhân không có tiền sử du lịch. Vì vậy, các nhà khoa học đang xem xét nguyên nhân dẫn đến đợt bùng phát bất thường này.

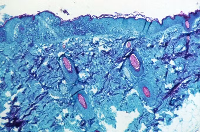
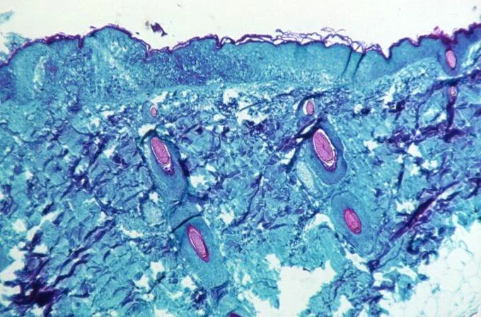
Mô da của một con khỉ nhiễm đậu mùa khỉ vào năm 1968. Ảnh: Reuters
Hiện châu Âu chỉ có một loại vaccine ngăn ngừa bệnh đậu mùa khỉ là Jynneos. Mỹ dùng hai loại vaccine đậu mùa, Jynneos và Acam200.
Jynneos sử dụng virus đã bất hoạt, không thể sao chép. Như vậy, virus đậu mùa trong vaccine không lây lan trong cơ thể. Vaccine được tiêm hai mũi, cách nhau 4 tuần.
Acam200 có chứa virus sống, chưa bất hoạt. Sau khi tiêm chủng để lại vết sẹo ở vị trí tiêm. Virus phát triển tại vết sẹo này, lan sang các bộ phận khác của cơ thể, thậm chí lây cho người khác. Những người vừa tiêm Acam200 phải tạm thời cách ly để phòng ngừa lây lan virus từ vaccine.