Không may bị tai nạn giao thông, ông N.V.S (Đức Thọ) phải vào Bệnh viện Đa khoa tỉnh (BVĐK tỉnh) điều trị. Qua thăm khám và chụp chiếu, ông S. được bác sỹ chẩn đoán bị gãy khớp háng và chỉ định phẫu thuật thay khớp háng. Sau phẫu thuật và điều trị 7 ngày tại Khoa Chấn thương, chỉnh hình và bỏng, bệnh nhân S. cơ bản phục hồi.

Bác sỹ Nguyễn Minh Tuấn - Trưởng khoa Chấn thương chỉnh hình và bỏng kiểm tra cho một bệnh nhân vừa thay khớp háng.
Bị thoái hóa khớp háng, bệnh nhân Đ.V.T (huyện Hương Khê) không thể đi lại mà phải ngồi xe lăn. Tuy nhiên, do kinh tế gia đình khó khăn nên ông Đ.V.T không có điều kiện chữa trị hiệu quả. Vừa qua, nhờ sự tài trợ kinh phí của một số nhà hảo tâm nên ông T. đã vào BVĐK tỉnh để được thăm khám, điều trị.
Sau khi thực hiện chụp chiếu và một số xét nghiệm cần thiết, bệnh nhân T. đã được các bác sỹ Khoa Chấn thương, chỉnh hình và bỏng phẫu thuật thay khớp háng. Sau phẫu thuật, bệnh nhân phục hồi nhanh, được xuất viện trở về nhà và tự đi lại, không còn phải ngồi xe lăn.

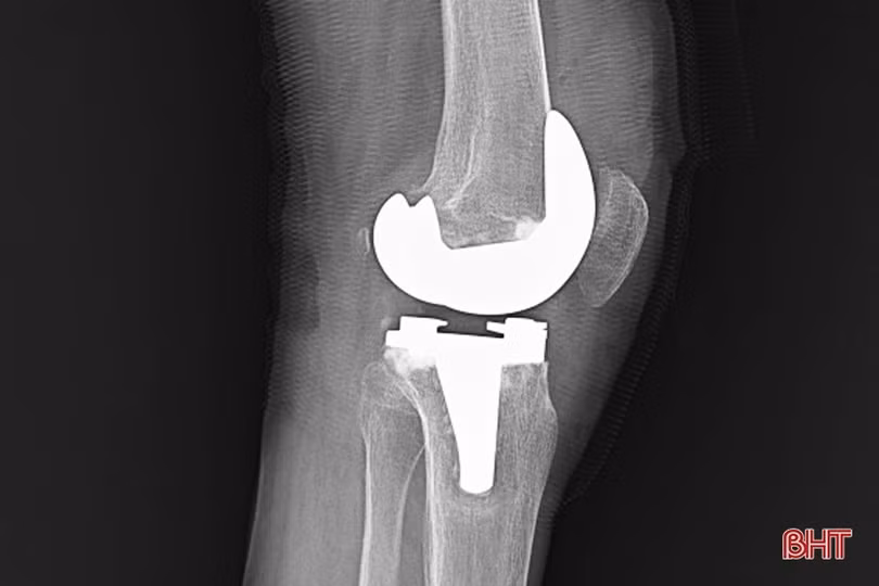
Hình ảnh khớp gối của một bệnh nhân sau phẫu thuật thay khớp.
Bệnh nhân C.V.B (huyện Đức Thọ) không may bị tại nạn chấn thương ở gối được chỉ định phẫu thuật thay khớp gối cho biết: “Tôi phẫu thuật được gần 1 tuần. Hiện nay, phần gối không còn đau nữa và có thể cử động. Dự kiến khoảng vài ngày nữa sẽ ra viện về nhà điều trị phục hồi chức năng”.
Đây là 3 trong nhiều trường hợp bị các chấn thương về háng và gối được các bác sỹ BVĐK tỉnh phẫu thuật thay khớp háng, khớp gối thành công.
Theo thống kê, trung bình mỗi năm, BVĐK tỉnh phải tiến hành phẫu thuật thay khớp gối và khớp háng cho khoảng trên dưới 300 ca bệnh.

Các bác sỹ BVĐK tỉnh phẫu thuật nội soi khớp gối để tái tạo dây chằng cho bệnh nhân.
Bác sỹ Nguyễn Minh Tuấn - Trưởng khoa Chấn thương, chỉnh hình và bỏng (BVĐK tỉnh) cho biết: “Được sự chuyển giao của Bệnh viện Việt Đức và Bệnh viện Trung ương Huế, từ năm 2010, chúng tôi đã bắt đầu triển khai các kỹ thuật về thay khớp gối và khớp háng, khớp vai. Đến nay, các kỹ thuật này được bệnh viện thực hiện một cách thường quy.
Ngoài ra, bệnh viện còn làm chủ hoàn toàn các kỹ thuật nội soi gối để tái tạo dây chằng chéo trước, chéo sau và dây chằng bên, nội soi khớp vai… với số lượng trung bình mỗi năm khoảng 150 ca. Việc làm chủ được nhiều kỹ thuật khó và sâu về chấn thương, chỉnh hình giúp người bệnh được tiếp cận với các kỹ thuật cao ngay tại địa phương, hạn chế số ca chuyển tuyến, giảm được chi phí điều trị và giảm tải cho các bệnh viện tuyến trung ương”.
Song song với nâng cao chất lượng tại bệnh viện, hằng năm, Khoa Chấn thương, chỉnh hình và bỏng vẫn tham gia hỗ trợ đào tạo nâng cao năng lực cho các cơ sở y tế tuyến dưới. Nhiều đơn vị đã được các bác sỹ BVĐK tỉnh hướng dẫn phẫu thuật kết hợp xương cơ bản, đào tạo kỹ thuật thay băng, bó bột…

Trung bình mỗi năm, BVĐK tỉnh phẫu thuật thay khớp gối, khớp háng cho khoảng 300 ca bệnh.
Thời gian tới, ngoài tiếp tục thực hiện hiệu quả các kỹ thuật thay khớp gói, khớp háng, khớp vai và phẫu thuật nội soi các khớp thì một trong những mục tiêu đang được bệnh viện hướng đến là làm chủ được các kỹ thuật vi phẫu tạo hình. Đây là một lĩnh vực mới đòi hỏi có sự đầu tư về máy móc, thiết bị hiện đại và đào tạo chuyên sâu về nhân lực. Đồng thời, tiếp tục nâng cao, hoàn thiện các kỹ thuật chỉnh hình nhi khoa, nhất là đối với các dị tật.
Bác sỹ Nguyễn Minh Tuấn
Trưởng khoa Chấn thương chỉnh hình và bỏng