(Baohatinh.vn) - Một bệnh nhân bị nhồi máu cơ tim cấp, nhập viện trong tình trạng ngừng tim, ngừng tuần hoàn đã được các bác sĩ BVĐK tỉnh Hà Tĩnh cấp cứu, can thiệp tái thông mạch vành thành công ngay trong “khung giờ vàng” của nhồi máu cơ tim.
Ngày 23/12, bệnh nhân L.V.Đ. (trú xã Lộc Hà, tỉnh Hà Tĩnh) xuất hiện tình trạng đau tức ngực trái, khó thở, mệt, được gia đình đưa vào Khoa Cấp cứu chống độc (BVĐK tỉnh Hà Tĩnh). Khi vừa đến sảnh của khoa, bệnh nhân đột ngột ngừng tim, ngừng tuần hoàn.
Ngay lập tức, các bác sỹ đã tiến hành cấp cứu ngừng tuần hoàn theo phác đồ, sau 5 phút cấp cứu tích cực, nhịp tim và mạch trở lại. Được biết, trước đó 5 ngày, bệnh nhân đã xuất hiện tình trạng đau ngực âm ỉ nhưng không đi khám.
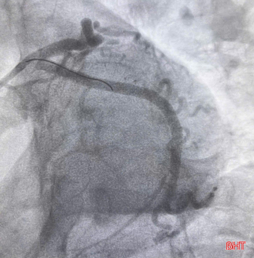
Hình ảnh động mạch vành của bệnh nhân sau đặt stent.
Bác sĩ Khoa Cấp cứu chống độc đã liên hệ hội chẩn Khoa Nội tim mạch, kết luận bệnh nhân bị nhồi máu cơ tim cấp vùng sau dưới và được chụp động mạch vành cấp cứu. Kết quả cho thấy bệnh nhân hẹp khít kèm huyết khối động mạch mũ (1 trong 3 nhánh động mạch vành) nên dẫn tới nhồi máu cơ tim vùng sau dưới. Sau khi đặt stent cho bệnh nhân, động mạch mũ được thông tốt. Sau 4 ngày điều trị, bệnh nhân đã tỉnh táo, huyết động ổn định, tình trạng đau ngực không còn, có thể xuất viện trong vài ngày tới.
BSCKI. Đinh Sỹ Thanh - Khoa Nội tim mạch cho biết: “Giờ vàng” của nhồi máu cơ tim là 6 giờ đầu kể từ khi xuất hiện triệu chứng. Đây là thời điểm quan trọng nhất để can thiệp và điều trị, giúp phục hồi tốt cơ tim tổn thương và giảm nguy cơ tử vong. Thành công của ca can thiệp tim mạch, kịp thời cứu sống người bệnh trong “khung giờ vàng” với sự phối hợp nhịp nhàng giữa Khoa Cấp cứu chống độc và Khoa Nội tim mạch là minh chứng cho hiệu quả của quy trình “báo động đỏ” nội viện.
Để giảm nguy cơ tắc mạch vành, nhồi máu cơ tim, người dân cần có chế độ ăn uống hợp lý, tránh ăn mỡ và nội tạng động vật, ăn đủ rau quả, từ bỏ thói quen hút thuốc lá, thuốc lào, không lạm dụng rượu bia, tập thể dục đều đặn, giữ cân nặng hợp lý, tránh căng thẳng tâm lý, điều trị tốt các bệnh lý nếu có như tăng huyết áp, đái tháo đường, rối loạn mỡ máu…
Ngoài ra, người dân cần chú trọng khám sức khỏe định kỳ đều đặn cũng như khám chuyên khoa tim mạch khi có các triệu chứng bất thường để phát hiện và điều trị sớm bệnh lý động mạch vành, giúp phòng ngừa nhồi máu cơ tim và các biến chứng, bác sỹ Thanh khuyến cáo.
Việc làm chủ nhiều kỹ thuật chuyên sâu, kỹ thuật mới về sản phụ khoa là tiền đề vững chắc để BVĐK tỉnh Hà Tĩnh hướng tới việc làm chủ hoàn toàn kỹ thuật thụ tinh trong ống nghiệm (IVF).
Bác sĩ Chuyên khoa I - Lê Bá Khánh Chi, Khoa Nội tổng hợp, Bệnh viện Đa khoa tỉnh Hà Tĩnh sẽ tư vấn về nội dung "Giải cứu" hệ tiêu hóa sau kỳ nghỉ Tết trong chương trình Sống khỏe cùng BHT.
Những món quà góp phần động viên, khích lệ tinh thần đội ngũ cán bộ, nhân viên Trung tâm Y tế Đức Thọ (Hà Tĩnh) tiếp tục nỗ lực, tận tâm chăm sóc và bảo vệ sức khỏe Nhân dân.
Xác định con người đóng vai trò quyết định để nâng cao chất lượng khám chữa bệnh, thời gian qua, các cơ sở y tế Hà Tĩnh đã chủ động triển khai nhiều giải pháp đồng bộ nhằm thu hút, giữ chân bác sĩ.
Bộ Y tế vừa đề xuất đưa 84 loại thuốc mới, bao gồm 30 thuốc điều trị ung thư đắt tiền, vào danh mục bảo hiểm y tế thanh toán nhằm giảm gánh nặng tài chính cho người bệnh.
Ngành Y tế Hà Tĩnh đã và đang đẩy mạnh ứng dụng công nghệ thông tin, trí tuệ nhân tạo trong công tác quản lý, điều hành và hoạt động chuyên môn, góp phần nâng cao chất lượng khám chữa bệnh, tiết kiệm thời gian, nhân lực và phục vụ người dân ngày càng tốt hơn.
Giám đốc Sở Y tế Hà Tĩnh Nguyễn Minh Đức mong muốn mỗi cán bộ y tế, dù ở vị trí nào cũng hãy luôn giữ trọn lời thề Hippocrates và lời dạy của Bác Hồ. Lấy sự hài lòng của Nhân dân làm thước đo cao nhất cho hiệu quả công việc và giá trị của bản thân.
Có những con người không cần đứng ở trung tâm ánh đèn để tỏa sáng. Họ chọn cách đi chậm, nói khẽ và làm việc bền bỉ bằng thứ ánh sáng rất riêng, ánh sáng của trách nhiệm và lòng nhân ái. Tại Bệnh viện Sức khỏe Tâm thần Hà Tĩnh, bác sĩ Trần Hậu Anh là một người như thế.
Đánh giá cao những nỗ lực trong công tác khám chữa bệnh, chăm sóc sức khỏe Nhân dân, Chủ tịch UBND tỉnh Phan Thiên Định mong muốn toàn ngành y tế tiếp tục phát huy truyền thống, thực hiện tốt nhiệm vụ, đáp ứng sự phát triển của tỉnh Hà Tĩnh.
Giữa những áp lực trực cấp cứu và những đêm dài không ngủ nơi phòng bệnh, có một đội ngũ bác sĩ trẻ Hà Tĩnh không ngừng cống hiến, tiếp cận tri thức y khoa hiện đại để thực hiện sứ mệnh chăm sóc sức khỏe cộng đồng.
Theo tổng hợp từ ngành Y tế Hà Tĩnh, từ ngày 14/2 đến nay, các cơ sở y tế tiếp nhận, thăm khám và điều trị cho 359 trường hợp bị tai nạn giao thông, không có trường hợp tử vong do tai nạn giao thông tại các cơ sở y tế.
Từ bệnh án điện tử, khám chữa bệnh từ xa đến quản lý y tế trên nền tảng số, Hà Tĩnh đang từng bước xây dựng nền y tế thông minh, hiện đại. Đây là hướng đi tất yếu nhằm nâng cao chất lượng dịch vụ y tế, tối ưu nguồn lực và đáp ứng ngày càng tốt hơn nhu cầu chăm sóc sức khỏe Nhân dân trong bối cảnh mới.
Trong khi nhiều gia đình quây quần bên mâm cơm đoàn viên, thì đội ngũ y bác sĩ tại các bệnh viện, trung tâm y tế trên địa bàn Hà Tĩnh vẫn lặng lẽ trực Tết, bảo đảm công tác khám - chữa bệnh và cấp cứu kịp thời cho người dân.
Đúng thời khắc thiêng liêng chuyển giao năm mới, bé gái nặng hơn 3,2 kg cất tiếng khóc chào đời, trở thành công dân Hà Tĩnh đầu tiên của năm Bính Ngọ 2026.
Việc làm chủ thêm nhiều kỹ thuật mới, kỹ thuật chuyên sâu đánh dấu sự chuyển mình mạnh mẽ của Bệnh viện Phổi Hà Tĩnh và là nền tảng quan trọng để xây dựng bệnh viện chuyên khoa xứng tầm.
Tết - khi nhà nhà, người người quây quần trong những giây phút đoàn viên, thì tại Khoa Cấp cứu – Chống độc (Bệnh viện Đa khoa tỉnh Hà Tĩnh), ánh đèn vẫn sáng trắng. Không pháo hoa, không mâm cỗ, chỉ có những bước chân vội vã, những ánh mắt tập trung và sự căng mình của đội ngũ y bác sĩ trong ca trực đặc biệt nhất năm.
Thông qua việc phát triển các kỹ thuật chuyên sâu, đầu tư đồng bộ trang thiết bị hiện đại, Bệnh viện Phục hồi chức năng Hà Tĩnh đã khẳng định vai trò đầu ngành về phục hồi chức năng trên địa bàn tỉnh, mang lại sự hài lòng cho người bệnh.
Sau ca ngộ độc nặng nghi do ăn cá ủ chua tại Đà Nẵng, Cục An toàn thực phẩm khuyến cáo người dân ưu tiên dùng món mới nấu chín, không tự đóng gói kín thức ăn để bảo quản dài ngày ở nhiệt độ thường.
Các cơ sở y tế Hà Tĩnh có đơn nguyên thận nhân tạo đang chủ động bố trí kíp trực, trang thiết bị vật tư y tế phục vụ chạy thận trong những ngày tết Nguyên đán Bính Ngọ 2026.
Nhiều cụ ông, cụ bà tại Hà Tĩnh dù tuổi đã cao vẫn minh mẫn, tích cực tham gia hoạt động cộng đồng. Lối sống khoa học, vận động thường xuyên và tinh thần lạc quan chính là “chìa khóa vàng”.
Kỳ nghỉ Tết Nguyên đán Bính Ngọ 2026 đã chính thức bắt đầu song tại nhiều khoa chuyên môn của BVĐK tỉnh Hà Tĩnh, các y bác sĩ vẫn đang căng mình để thu dung, cấp cứu giành giật sự sống cho người bệnh.
Bằng việc triển khai thành công nhiều kỹ thuật chuyên sâu, ứng dụng mạnh mẽ chuyển đổi số nên BVĐK tỉnh Hà Tĩnh đã nâng cao sự hài lòng của người bệnh, qua đó khẳng định vai trò cơ sở y tế đầu ngành của tỉnh nhà.
Với tinh thần "lấy sức khỏe và an toàn tính mạng của người dân là trên hết", các cơ sở y tế Hà Tĩnh đã chuẩn bị đầy đủ nhân lực, thuốc, vật tư để sẵn sàng cấp cứu và điều trị cho người bệnh trong dịp Tết.
Trong bối cảnh dịch cúm gia cầm H5N1 diễn biến phức tạp, việc xử lý nhanh “ổ dịch” ở xã Cẩm Xuyên (Hà Tĩnh) là giải pháp then chốt nhằm bảo vệ đàn gia cầm và sức khỏe cộng đồng.
Sở Y tế Hà Tĩnh yêu cầu các cơ sở y tế chủ động bảo đảm nhân lực, vật tư để phục vụ thu dung, điều trị và cấp cứu người bệnh bị tai nạn giao thông, cháy nổ, chấn thương, ngộ độc thực phẩm trong dịp nghỉ Tết Nguyên đán.
Theo nhận định của BCĐ vận động hiến máu tình nguyện tỉnh Hà Tĩnh, trong dịp Tết Nguyên đán, nhu cầu sử dụng máu cho cấp cứu và điều trị tại các cơ sở y tế ngày càng tăng, trong khi số lượng người hiến máu có xu hướng giảm.
Dịch cúm gia cầm H5N1 xuất hiện tại xã Cẩm Xuyên (Hà Tĩnh) với 869 con gia cầm bị tiêu hủy. CDC Hà Tĩnh chủ động giám sát, triển khai biện pháp ngăn lây sang người.
Tiếp nối thành công của can thiệp mạch vành và mạch cảnh, BVĐK tỉnh Hà Tĩnh đã triển khai kỹ thuật can thiệp mạch tạng dưới hướng dẫn của hệ thống chụp mạch số hóa xóa nền (DSA).